Personalized Facial Implant Design Prototype for Trauma Patient

In a powerful prototype demonstration of the potential of precision medicine in August of 2024, the 3D Medical Printing Development Hub at the University of Warith Al-Anbiyaa (UOWA) has successfully completed a critical case involving a 35-year-old woman who sustained devastating facial injuries from a car explosion.

 

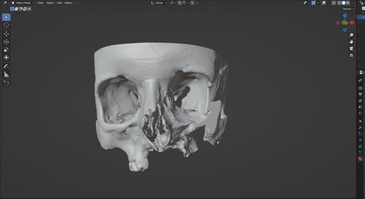
The patient suffered significant trauma to the right side of her face, including partial loss of her right eye, a laceration to the upper jaw, and damage to the orbital floor. Through detailed CT scan analysis and the use of Blender—a professional-grade 3D design software—the medical engineering team reconstructed the affected facial structure and designed a highly accurate, patient-specific implant to restore both functionality and appearance.

 

This personalized implant serves as a precise anatomical replacement for the missing bone structure and represents a major step toward 3D printing it in a biocompatible material such as titanium. The goal is not only to restore facial aesthetics but also to support improved medical outcomes and quality of life.

 

As part of UOWA’s broader vision, this work reflects the hub’s mission to bridge advanced technology with compassionate care, transforming the future of trauma recovery and reconstructive surgery in Iraq and beyond.